Si buscas hosting web, dominios web, correos empresariales o crear páginas web gratis, ingresa a PaginaMX
Por otro lado, si buscas crear códigos qr online ingresa al Creador de Códigos QR más potente que existe



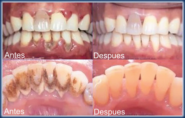
PERIODONCIA

 
Es la Rama de la Odontología que tiene como objetivo el preservar la dentición Natural manteniendo y o restaurando la Salud, función y estética oral; todo esto mediante los procesos de un Buen Diagnostico y Plan de Tratamiento.

Los Tratamientos a realizarse son:
• Control de la Infección Supragingival y Subgingival
• Cirugía Periodontal Terapéutica
• Cirugías Mucogingival bolsas periodontales
• Cirugía Periodontal  no terapéutica
• Detartrage (profilaxis o limpieza)




 
© 2026 Dr. Miguel Angel Cantero B.