Si buscas hosting web, dominios web, correos empresariales o crear páginas web gratis, ingresa a PaginaMX
Por otro lado, si buscas crear códigos qr online ingresa al Creador de Códigos QR más potente que existe


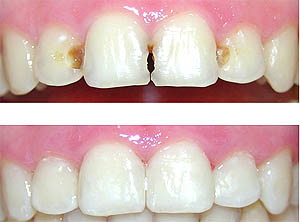
OPERATORIA DENTAL
 
Operatoria Dental es mucho más de lo que su nombre indica. Abarca en forma completa y detallada desde la organización y planeamiento de la Clínica Odontológica, el instrumental y la tecnología clásica y avanzada, conceptos de histología y cariología y su relación con otras ramas de la odontología, para llegar a su tema principal, las preparaciones cavitarias y los distintos materiales de obturación, cubriendo también desde las incrustaciones metálicas y las amalgamas hasta los materiales más modernos.

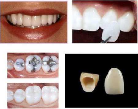
TRATAMIENTOS QUE SE REALIZAN EN EL COSULTORIO ODONTOLOGICO

  • Resina Simples
  • Resina Compuesta
  • Colage
  • Incrustaciones metálicas
  • Incrustaciones cerámica: Inlay y Onlay

    

© 2026 Dr. Miguel Angel Cantero B.